Pulmonary Interstitial Edema X-ray: What To Know

S.Selfpubbookcovers 21 views
Pulmonary Interstitial Edema X-ray: What To Know

Pulmonary Interstitial Edema X-ray: What to Know

Hey everyone! Today, we’re diving deep into something super important in the medical world: pulmonary interstitial edema x-ray . You might hear this term thrown around, and it can sound a bit intimidating, but trust me, guys, understanding it is crucial, especially if you’re in the healthcare field or just curious about how doctors diagnose lung issues. We’re going to break down what pulmonary interstitial edema is, how X-rays help us spot it, and why this diagnostic tool is such a game-changer. So, buckle up, and let’s get this knowledge party started!

Understanding Pulmonary Interstitial Edema

So, what exactly is pulmonary interstitial edema ? Let’s break it down, word by word. “Pulmonary” refers to your lungs. “Interstitial” points to the interstitial space, which is the tissue and space around the air sacs (alveoli) in your lungs. And “edema”? That’s just a fancy medical term for swelling caused by excess fluid. Put it all together, and pulmonary interstitial edema means there’s an excess buildup of fluid in the interstitial space of your lungs. It’s like your lungs are getting a bit waterlogged, but not necessarily in the tiny air sacs themselves (that would be alveolar edema), but in the supporting tissues. This fluid buildup can make it really tough for oxygen to get into your bloodstream and for carbon dioxide to get out, which is obviously a big problem for breathing. It’s often an early sign of more serious conditions, like heart failure, kidney problems, or lung infections. When this fluid starts accumulating, it thickens the walls of the air sacs and the spaces between them, making gas exchange way less efficient. Imagine trying to breathe through a wet sponge; it’s that kind of impedance we’re talking about. This condition isn’t just a minor inconvenience; it can rapidly lead to shortness of breath, coughing, and a general feeling of being unwell. The key thing to remember is that interstitial edema is often the first stage of fluid overload in the lungs. If it’s not addressed, it can progress to alveolar edema, where the fluid actually floods the air sacs, making breathing even more compromised. So, catching it early is absolutely vital, and that’s where our trusty X-ray comes into play. We’ll talk more about how those images help us see this subtle but significant fluid accumulation.

The Role of X-rays in Diagnosis

Now, let’s talk about how X-rays help us diagnose pulmonary interstitial edema . Chest X-rays are like the workhorses of medical imaging, especially when it comes to lung issues. They use a small dose of radiation to create pictures of the structures inside your chest, including your lungs, heart, and bones. When a radiologist or doctor looks at a chest X-ray, they’re looking for specific patterns that indicate fluid buildup in the interstitial space. One of the classic signs they look for is something called “Kerley B lines.” These are tiny, short, horizontal lines that appear at the lung periphery, usually near the costophrenic angles (where your ribs meet your diaphragm). They represent fluid in the interlobular septa, which are the small walls that divide the lung tissue. Another key indicator is the thickening of the interlobar fissures, which are the lines that separate different lobes of the lung. You might also see a general increase in lung markings or a haziness that suggests fluid is present. The heart size might also be important to note on an X-ray; an enlarged heart can often be a clue that heart failure is the underlying cause of the edema. Sometimes, the X-ray might show fluid accumulating in the pleural space as well (pleural effusion), which is another sign of fluid overload. The beauty of the X-ray is that it’s quick, widely available, and relatively inexpensive. It gives doctors a good initial look at what’s going on inside the chest and can help them decide if further tests are needed. It’s not always definitive on its own, especially in the very early stages, but it’s an invaluable first step in narrowing down the possibilities and guiding subsequent management. Think of it as the first alert system, flagging potential trouble that needs a closer look. The interpretation requires a skilled eye, as subtle changes can sometimes be missed or misinterpreted, but its overall contribution to diagnosing conditions like pulmonary interstitial edema is undeniable. It provides a visual map of the lung’s condition, allowing medical professionals to see beyond the symptoms and get to the root of the problem.

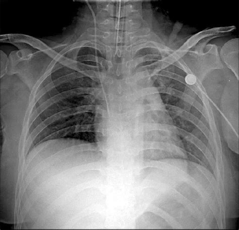
Visualizing the Signs on an X-ray

Alright guys, let’s get into the nitty-gritty of what doctors actually see on a pulmonary interstitial edema x-ray . When we talk about visualizing these signs, we’re essentially looking for indirect evidence of that excess fluid in the lung tissue. As I mentioned, Kerley B lines are a big one. Picture them as really fine, pencil-thin lines, usually a centimeter or two long, running perpendicular to the pleura (the outer lining of the lungs). They’re essentially the thickened walls of the tiny lung lobules due to fluid. They’re often found at the lung bases because fluid tends to settle lower down due to gravity. Another sign is the thickening of the interlobar fissures . These are the fissures that divide the lobes of the lung. Normally, they’re barely visible on an X-ray, but with interstitial edema, the fluid accumulation around them can make them appear more prominent and distinct, almost like sharp, dark lines. You might also notice a generalized increase in bronchovascular markings . These are the lines representing the airways (bronchi) and blood vessels within the lungs. When fluid accumulates in the interstitial space surrounding them, these markings can look more prominent, smudged, or “dirty.” It’s like seeing the trees through a slightly foggy window – the general pattern is there, but it’s less crisp. Sometimes, especially if the edema is more severe or starting to involve the air sacs, you might see what’s called “bat wing” or “butterfly” distribution of haziness or opacities, primarily around the center of the lungs. This pattern is more typical of alveolar edema but can be seen in more advanced interstitial edema too. We also look at the heart size . A significantly enlarged heart on an X-ray is a strong indicator of underlying heart disease, a common cause of pulmonary edema. The pleura itself might show thickening, and you could see blunting of the costophrenic angles if there’s a pleural effusion, which is fluid in the space between the lungs and the chest wall. So, essentially, the radiologist is piecing together these subtle clues – the fine lines, the thickened borders, the hazy patterns, and the heart’s appearance – to build a picture of what’s happening within the lungs. It’s a bit like being a detective, looking for the tell-tale signs of fluid overload that aren’t directly visible but leave their imprint on the X-ray image. The clarity and angle of the X-ray (PA and lateral views are standard) are crucial for spotting these subtle changes effectively. Sometimes, comparison with previous X-rays can be really helpful to see if these changes are new or have progressed.

Causes and Associated Conditions

Understanding the causes behind pulmonary interstitial edema is key to effective treatment, and X-rays play a role in hinting at these underlying issues. The most common culprit, guys, is heart failure . When your heart isn’t pumping blood effectively, blood can back up into the pulmonary veins, increasing pressure and forcing fluid out into the interstitial spaces of the lungs. This is often referred to as cardiogenic pulmonary edema. On an X-ray, you might see signs of cardiomegaly (an enlarged heart) alongside the interstitial edema, which really points towards a cardiac origin. Another major player is kidney failure . When your kidneys aren’t working properly, they can’t remove excess fluid and sodium from your body, leading to fluid overload throughout the body, including the lungs. This is known as non-cardiogenic pulmonary edema, though it still results in fluid in the lungs. Acute Respiratory Distress Syndrome (ARDS) is another serious condition where the lungs become severely inflamed and fluid leaks into the interstitial and alveolar spaces. ARDS can be triggered by things like severe pneumonia, sepsis, trauma, or aspiration. The X-ray findings in ARDS can be extensive and often show widespread opacities. Certain lung infections , particularly viral or atypical bacterial pneumonias, can cause inflammation that leads to interstitial edema. Sometimes, even severe lung inflammation from other causes, like exposure to toxins or certain autoimmune diseases affecting the lungs (like lupus or rheumatoid arthritis), can result in this fluid buildup. High altitude pulmonary edema (HAPE) is a condition that can affect climbers and occurs when people ascend too quickly to high altitudes without proper acclimatization. The low oxygen levels and increased pulmonary artery pressure trigger fluid leakage. On an X-ray, you might see widespread interstitial and alveolar edema. Fluid overload from intravenous fluid administration can also lead to pulmonary edema, especially in patients with compromised heart or kidney function. The X-ray would show diffuse haziness and potentially cardiomegaly if the overload stresses the heart. So, you see, the X-ray isn’t just showing us fluid; it’s giving us clues about why that fluid is there. By correlating the X-ray findings – like the presence of Kerley B lines, increased vascular markings, pleural effusions, and heart size – with the patient’s clinical symptoms and history, doctors can start to piece together the puzzle and identify the underlying cause. This is critical because treating the fluid buildup itself is important, but addressing the root problem, whether it’s the heart, kidneys, or an infection, is what truly helps the patient recover and prevents recurrence. It’s all about looking at the whole picture!

Differentiating from Other Lung Conditions

One of the trickiest parts of interpreting a pulmonary interstitial edema x-ray is differentiating it from other lung conditions that might look similar on an image. Doctors need to be really sharp to tell the difference, guys. For instance, pneumonia , especially certain types like viral or atypical pneumonia, can cause inflammation and fluid in the lungs that might mimic interstitial edema. However, pneumonia often shows more focal or patchy areas of consolidation (where the air sacs are filled with pus or fluid), and patients usually have fever and productive cough as prominent symptoms, which might not be as pronounced in early interstitial edema. Another condition to consider is pulmonary venous obstruction , such as from a blood clot in the pulmonary veins or narrowing of those veins. This can also lead to increased pressure and fluid backup, showing similar X-ray findings. Pulmonary embolism , a clot in the arteries of the lungs, can sometimes cause secondary interstitial edema due to lung infarction or increased pressure, though its primary X-ray signs are often different (like atelectasis or pleural effusion). Lymphangitic carcinomatosis , which is the spread of cancer cells along the lymphatic pathways in the lungs, can cause thickening of the interstitial tissues and might look like interstitial edema on an X-ray. However, this usually occurs in patients with a known history of cancer and might show nodular patterns or thickened lymphatic vessels. Interstitial lung diseases (like idiopathic pulmonary fibrosis) are a group of chronic conditions that affect the lung interstitium. While these diseases involve the lung tissue, the X-ray patterns are typically different, often showing more chronic changes like honeycombing, reticular opacities, and architectural distortion rather than the acute fluid accumulation seen in edema. The key differentiator often lies in the acuity of the changes and the associated clinical picture. Interstitial edema is usually a more rapid process, often linked to an acute event or decompensation (like heart failure worsening), whereas many interstitial lung diseases are chronic and progressive. The presence of Kerley B lines and significant cardiomegaly strongly favors cardiogenic pulmonary edema. Conversely, a normal-sized heart and a history of fever might push the diagnosis towards pneumonia. It’s a process of exclusion and confirmation, where the radiologist combines the visual evidence from the X-ray with the patient’s symptoms, medical history, and sometimes other diagnostic tests like CT scans or echocardiograms to arrive at the most accurate diagnosis. It really highlights the importance of a comprehensive approach to patient care.

Management and Treatment

So, what happens once pulmonary interstitial edema is identified on an X-ray ? The management and treatment strategy heavily depend on the underlying cause, which the X-ray, along with other clinical information, helps us pinpoint. If heart failure is the culprit, the primary goal is to reduce the workload on the heart and remove the excess fluid. This often involves medications like diuretics (water pills) to help the kidneys excrete more fluid, ACE inhibitors or beta-blockers to improve heart function, and sometimes vasodilators to ease the pressure on the heart. Limiting sodium and fluid intake is also crucial. If kidney failure is the cause, management focuses on supporting kidney function and removing excess fluid, often through dialysis if the kidneys are severely impaired. Strict fluid and electrolyte balance is paramount. For lung infections like pneumonia, treatment involves antibiotics (if bacterial) or antiviral medications, along with supportive care to help with breathing. For ARDS , treatment is intensive and focuses on providing oxygen support, often with mechanical ventilation, and treating the underlying trigger. In cases of fluid overload from aggressive IV fluid administration, stopping or reducing the infusion and using diuretics are the mainstays. For HAPE , descent to a lower altitude is the most critical step, often supplemented with oxygen and medications like nifedipine. On the X-ray front, while it’s primarily a diagnostic tool, follow-up X-rays are often used to monitor the resolution of the edema as treatment progresses. You’ll typically see those Kerley B lines and haziness gradually disappear as the fluid is cleared from the lungs. It’s really rewarding to see those images improve! The management isn’t just about clearing the lungs; it’s about addressing the whole patient. This means monitoring vital signs, oxygen levels, kidney function, and cardiac status closely. Patient education is also a huge part of long-term management, especially for chronic conditions like heart failure, teaching patients about their medications, diet, and when to seek medical help. So, while the X-ray is the initial detective, the treatment plan is a comprehensive effort involving medications, lifestyle changes, and ongoing monitoring to get the lungs back to normal and improve the patient’s overall health and quality of life. It’s a team effort, for sure!

Conclusion

To wrap things up, guys, the pulmonary interstitial edema x-ray is a fundamental diagnostic tool that offers a crucial window into the health of our lungs. We’ve explored what pulmonary interstitial edema is – that pesky fluid buildup in the lung tissue – and how X-rays reveal tell-tale signs like Kerley B lines and thickened markings. We’ve also touched upon the diverse causes, from heart failure to kidney issues and infections, and how a skilled eye can differentiate these patterns from other lung conditions. Understanding these X-ray findings is not just about spotting a problem; it’s about paving the way for timely and appropriate treatment. Whether it’s diuretics for fluid overload, antibiotics for infection, or managing chronic conditions, the X-ray findings guide the medical team toward the best course of action. It’s a powerful reminder of how medical imaging, combined with clinical expertise, plays an indispensable role in diagnosing and managing complex health issues, ultimately helping us breathe a little easier. Keep learning, stay curious, and remember that knowledge is power, indeed, power, especially when it comes to our health!